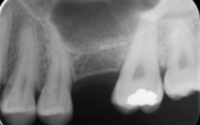
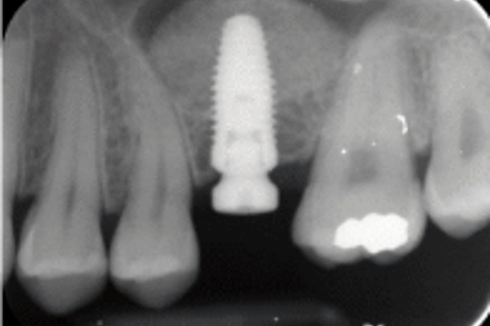
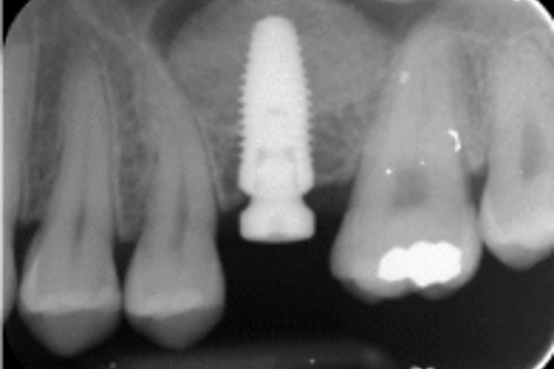
Bone regeneration around dental implants is achieved by grafting bone. Most commonly bone grafting is required when a patient does not have enough healthy natural bone at the dental implant site to support a dental implant. (Figures 15 A, B & C).

This deficiency of natural bone can be caused by infection (often caused by a fractured tooth root, gum disease or root canal complications), or it can occur because of a slow loss of bone that happens after a tooth was extracted more than a couple of months or longer beforehand.
Figure 15C below, shows the graft now covered by membrane.


It is also often necessary to have to graft bone into the maxillary sinus, the sinus in your upper jaw, when dental implants are placed in the back area of the upper jaw and there is insufficient bone (Figure 15D), to support the dental implant because the maxillary sinus (an air space) takes up some of the jawbone.
Image below shows implant placement with sinus lift and use of bone graft.


Another situation where bone grafting is needed to regenerate bone is to repair bone when a dental implant has lost bone because of peri-implantitis (an infection that can occur around dental implants).
There are 4 main types of bone grafts used to regenerate bone in dental implant surgery:
Bone grafts are often covered with collagen membranes (mainly porcine or bovine) to help bone regeneration.
Allografts, xenografts, alloplastic grafts and membranes are carefully sterilised and are safe.
While the thought of bone grafting can sound scary, if you are a dental patient who might be getting a dental implant it is important to keep in mind that bone grafting is a very common and normal part of the dental surgery procedure. It is normal for people to feel apprehensive about this. Fortunately, you do not need to be afraid of this as bone grafting in dental implant surgery is very predictable and successful and there is no pain during bone grafting. Your periodontist will discuss all aspects of bone grafting with you when it is necessary.