If you're told you have periodontal disease, your dentist may propose a range of treatments or refer you to a gum specialist (Periodontist) for treatment. The latest guidelines on periodontal treatment suggest a stepwise approach to treatment. So, depending on your disease severity your periodontist may increase “step up” or decrease “step down” your treatment until your gums are healthy.
First, a discussion about the causes of periodontitis, the goals of treatment and possible outcomes is held. The key to success is to understand plaque, which contains the bacteria that cause periodontitis. It is also important to understand the factors that influence your body’s reaction to plaque. These factors can include smoking and diabetes, which need to be managed. If left undisturbed on teeth plaque may form calculus (tartar), a cement like material, that you cannot remove.
What is plaque? Plaque is a sticky layer of bacteria that forms on the surface of the teeth, both above and below the gums. It can make the teeth ‘feel fuzzy’ when they have not been brushed. When plaque builds up on the teeth, it can lead to gum disease.
STEP 1 of periodontal treatment is to establish a good daily oral hygiene routine. Your periodontist will help fine tune your cleaning to ensure all plaque is removed from all teeth surfaces every day. They will provide pro-tips on the best ways to do this and the best tools to use for your mouth. Performing good oral hygiene every day is essential to ensure the disease is controlled and progression prevented. In addition, other factors such as diabetes and smoking will be addressed.
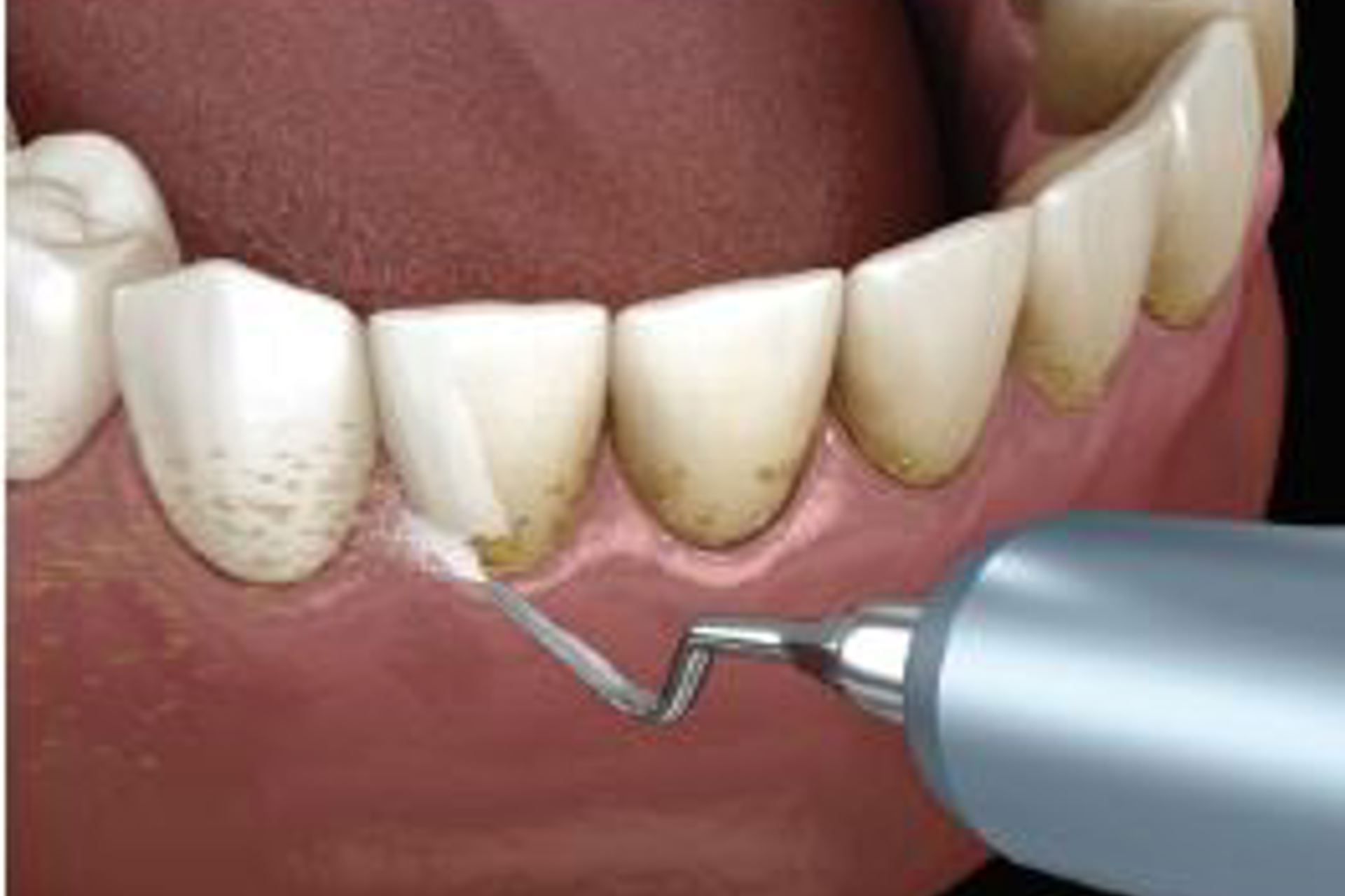
STEP 2 includes thorough cleaning of the teeth by your periodontist. This is called a deep cleaning or root surface debridement. All plaque and calculus (tartar) are removed from the teeth, often over several appointments.
The first two STEPS are known as non-surgical periodontal treatment and can be delivered together (see images below). In some specific cases, antibiotics can also be given with this treatment. After these treatment steps, the gums are given time to heal.


After having time to heal, your periodontist will check your oral hygiene, gums, and control of risk factors. This is called reassessment and is used to determine the outcome of treatment. If the treatment has been successful, a maintenance program begins. This is known as supportive periodontal care, which is STEP 4. If further improvement is required, because bleeding gums and deep pockets continue to be present, your periodontist will recommend further treatment (STEP 3).
In STEP 3, step 1 & 2 can often be repeated. Surgical periodontal treatment may be recommended. Common reasons for surgery include:
Again, the gums need to be reviewed to see the results of treatment. When goals are achieved, you enter STEP 4, known as the maintenance or supportive phase.
STEP 4 is essential to ensure the gums remain healthy and disease does not return. This step involves regular review of your gum health, oral hygiene, and management of risk factors. The interval between visits can be 3, 4 or 6 months depending on your risk of progression. STEP 4 aims to prevent the return of disease stopping further destruction of the gums and bone. Each visit will involve fine tuning oral hygiene and cleaning of teeth, and below the gums if necessary.
The long-term success of treatment for periodontal disease is a partnership. It relies on your own efforts at home with optimal cleaning and those of the dental team who provide your ongoing care.